Астрахань ваш город?
Да
Выбрать другой город

УЗИ-аппарат
Philips InnoSight

В наличии
Philips InnoSight увеличивает возможности сканирования во множестве мест оказания медицинских услуг. Благодаря данному УЗИ аппарату врачи могут не сомневаться в быстром выполнении обычных ультразвуковых сканирований во врачебном кабинете, клинике или больнице.
Лизинг
Доставка и лизинг по всей России
Включая Дагестан, Чечню и Крым
Гарантия
Гарантия на медицинское оборудование от производителя!
Послепродажный сервис
Инженерная поддержка
Инструктаж по монтажу и обучение персонала включены в стоимость
Гибкие условия
Оперативная доставка
Лизинг и доставка оборудования в наличии от 1 рабоего дня

Особенности:

InnoSight позволяет перенести ультразвуковую диагностику непосредственно туда, где пациенту оказывается медицинская помощь, что повышает мобильность врачей. Этот компактный и легкий ультразвуковой аппарат позволяет чаще использовать возможности ультразвуковой диагностики и предоставляет широкий набор технологий для проведения углубленных исследований — программные пакеты для специализированного анализа, функции аннотирования и наборы готовых настроек для различных типов тканей.

Эргономичная система с высококачественными широкополосными датчиками Philips помогает повысить клиническую надежность результатов исследования и уровень оказания медицинских услуг. Аппарат можно перемещать вручную или с помощью тележки.

Области исследований:

  • Общие абдоминальные исследования;
  • Исследования сосудов;
  • Опорно-двигательный аппарат;
  • Поверхностно расположенные малые органы;
  • Основные кардиологические исследования.
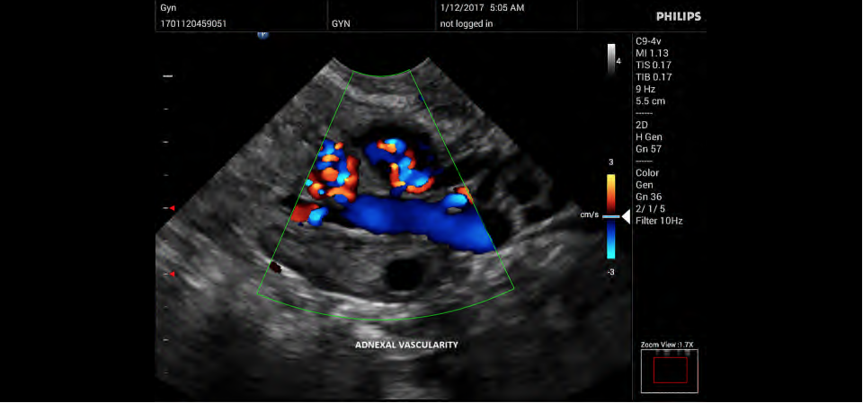
  • Акушерство и гинекология;

Характеристики:

  • Вес менее 2,5 кг;
  • Подставка для установки аппарата на поверхности стола, которую можно использовать в качестве ручки для переноски;
  • Термопринтер Sony UP-X898MD с высокоскоростной термопечатью цифровых изображений (опционально);
  • Быстрая загрузка системы из выключенного состояния;
  • Мгновенное переключение в режим сканирования из режима ожидания;
  • Быстрая загрузка (<25 секунд при "холодном" запуске и <2 секунд при из спящего режима);
  • Совместимость с Bluetooth-клавиатурой и беспроводной компьютерной мышью;
  • Держатели для укладки кабелей;
  • Компактная тележка (опционально);
  • Длительность работы системы без подключения к сети может достигать 2-х часов;
  • Сенсорный интерфейс планшетного типа с диагональю 11,6 дюймов, с которым можно работать в перчатках;
  • Возможности подключения: USB, HDMI, Порт для подключения датчика, поддержка функции сохранения DICOM 3.0;
  • 3 держателя для датчиков; Держатель для флакона с гелем;
  • Позволяет регулировать высоту крепления аппарата, его наклон и поворот;
  • Возможность фиксирования положения тележки путем блокировки колес-роликов с помощью педалей;
  • Ударопрочность и влагоустойчивость конструкции.

Режимы и функции:

  • Анатомический M-режим для кардиологии: На экране можно отображать до трех различных разверток в режиме M. Это позволяет одновременно визуализировать митральный и аортальный клапаны, что помогает установить правильный диагноз. Для получения нужной развертки M-режима можно задать положение и угол курсора M-режима на анатомическом изображении.
  • Дуплексный режим: Одновременное отображение режимов 2D и допплера.
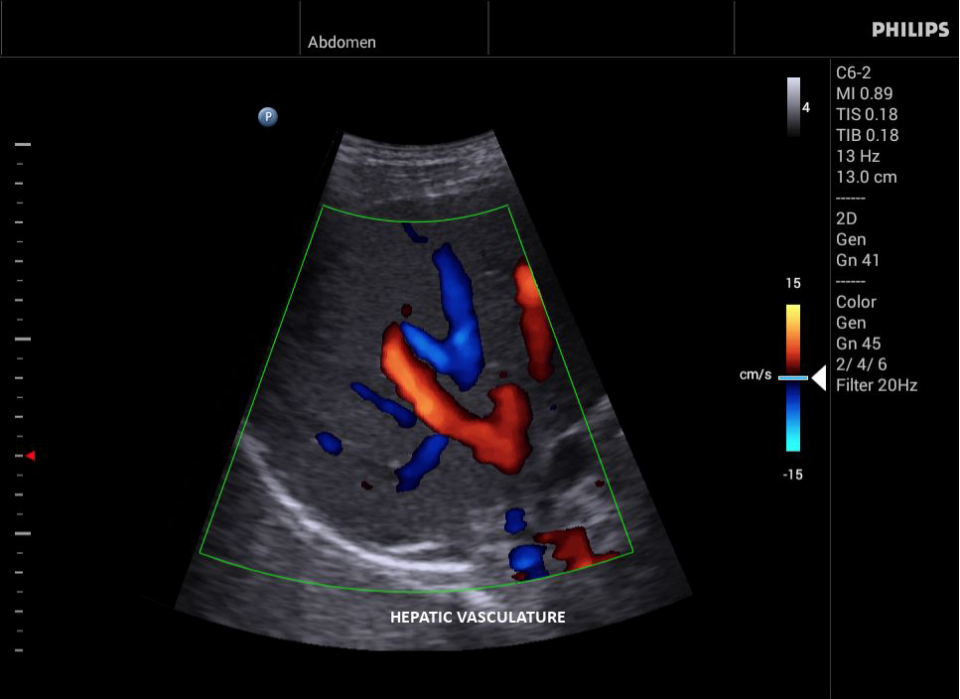
  • Триплексный режим: Одновременное отображение режимов 2D, допплера и цветного допплера или энергетического допплера.
  • Цветное допплеровское картирование
  • Трапециевидный режим для визуализации поверхностно расположенных органов: При визуализации поверхностно расположенных органов, таких как щитовидная железа, молочная железа или яичко, этот режим позволяет расширить поле обзора без потери качества изображения. Таким образом, в одном поле обзора можно визуализировать всю щитовидную железу или яичко.
  • Направленный энергетический допплеровский режим: Дополнительно к возможностям визуализации сосудов в стандартном энергетическом режиме добавляется информация о направлении. Этот режим полезен для визуализации мелких сосудов в качестве замены цветного допплеровского картирования.
  • Непрерывный волновой допплеровский режим: Этот режим полезен в случаях, когда кровоток имеет высокую скорость, например, при аортальном стенозе, и может использоваться для повышения надежности диагностики.
  • Расширенные возможности визуализации иглы: Режим улучшенной визуализации иглы позволяет улучшить контрастность изображения иглы без ухудшения разрешения анатомических деталей. В этом режиме можно регулировать направление луча для получения 2D-изображения в процессе введения иглы и тем самым улучшить качество визуализации при биопсии молочной железы, катетерной абляции, установке центрального венозного катетера и хирургических вмешательствах.
  • Режим визуализации с автоматическим измерением комплекса интима-медиа (IMT): Автоматический расчет толщины комплекса интима-медиа упрощает работу врача, позволяя избежать ручных расчетов, сокращая время процедуры и вероятность ошибки.
  • Гармоническая визуализация тканей (THI): Подавление артефактов при сохранении четкости визуализации тканей и высокого разрешения.
  • Гармоническая визуализация тканей (THI) с инверсией импульсов: Подавление артефактов при сохранении четкости визуализации тканей и высокого разрешения.
  • Автоматический доплеровский анализ HighQ: Функция автоматического доплеровского анализа HighQ позволяет проводить в режиме реального времени измерения на заданных пользователем доплеровских кривых.

Купить УЗИ ультразвуковую диагностическую систему Philips InnoSight

Компания Medicray готова предложить вам выгодные условия приобретения Philips InnoSight. Мы специализируемся на поставках медицинского оборудования и гарантируем своевременные поставки, высокое качество и оптимальные цены.

Для получения подробной информации и коммерческого предложения по аппарату Philips InnoSight, пожалуйста, оставьте заявку на нашем сайте или свяжитесь с нами по телефону 8 800 700 21 33. Наш менеджер подготовит для вас предложение на оборудование и предоставит график платежей.

Мы также предлагаем возможность приобретения оборудования в лизинговой форме совместно с несколькими лизинговыми компаниями. Вы сможете получить одобрение от выбранной лизинговой компании и заключить договор лизинга, после чего оборудование будет передано вам для использования. Вы будете регулярно вносить лизинговые платежи, а по окончании договора оборудование перейдет в вашу собственность.

Не упустите возможность приобрести ультразвуковую диагностическую систему Philips InnoSight по выгодной цене и с лучшими условиями финансирования. Позвоните нам уже сейчас по телефону 8 800 700 21 33 и оставьте заявку на коммерческое предложение.

Технические характеристики
Диагональ монитора:
11 дюйм
Вес аппарата:
2.5 кг
Тип аппарата:
Планшетный
Эластография:
Нет
Класс аппарата:
Средний
Поддерживаемые датчики:
Высокоплотные
Количество портов:
1
Страна производитель:
Нидерланды
Бренд:
Philips
Категория:
Общая визуализация
Доступные опции
Режимы акустической прозрачности 3D:
Нет
Трехмерная реконструкция ЦДК:
Нет
Объемное сканирование:
Нет
Трехмерная реконструкция методом свободной руки:
Нет
Эластография сдвиговой волной/Эластометрия:
Нет
Компрессионная эластография:
Нет
Автоматическая подстройка рамки допплера:
Нет
Режим полной автоматизации:
Нет
Недопплеровская визуализация кровотока:
Нет
Тканевой допплер:
Нет
Направленный энергетический допплер:
Да
Энергетический допплер:
Да
Высокочастотный импульсный допплер:
Да
Цветовой допплер:
Да
Постоянно-волновой допплер:
Да
Импульсно-волновой допплер:
Да
Анатомический М-режим:
Да
Панорамное сканирование:
Нет
Режим B-сканирования с отклонением угла:
Нет
Трапециевидное сканирование/Виртуальный конвекс:
Да
Триплексное сканирование:
Нет
Дуплексное сканирование:
Нет
Цветной M-режим:
Нет
M-режим:
Нет
B-режим, Двухмерное сканирование:
Нет
Область применения
Общая визуализация:
Да
Компоненты дополнительной поставки
DICOM:
Да
IMT (Intima Media thickness):
Да
B-Steer:
Да
Аккумуляторная батарея:
Да
Онлайн калькулятор
Цена
Ориентировочная цена модели
Аванс
10% 100%
 
Срок лизинга
12 месяцев 36 месяцев
 
Ежемесячный платёж
Первоначальный взнос
* Рассчет платежа носит информационный характер и не является публичной офертой.
Условия лизинга индивидуальны для каждого договора.
Условия лизинга
  • По всей России (Включая Крым, Дагестан и Чечню)
  • Авансовый платеж от 10% (для УЗИ брендов GE, Mindray и Samsung)
  • Оформление лизинга от 48 часов
  • Возможность досрочного погашения
  • Лизинг оборудования от 1 года

  • Высокочувствительный допплер (визуализация микрососудов) - Нет
  • Автоматическая оптимизация изображения - Да
  • Встроенная аккумуляторная батарея - Да
  • Время автономной работы портативных сканеров (час) - 2
  • Оценка деформации миокарда (спекл-трекинг) - Нет
  • Твердотельный накопитель (SSD) - Да
  • Импульсно-волновой допплер - Да
  • Высокочастотный импульсный допплер - Да
  • Энергетический допплер - Да
  • Направленный ЭД - Да
  • Векторное картирование кровотока - Нет
  • Автоматическое определение фракции выброса по Симпсону - Нет
  • Автоматический расчет параметров гемодинамики по допплеровскому спектру (трассировка/оконтуривание спектра) - Да
  • Тканевой допплер (TDI) - Нет
  • Недопплеровская визуализация кровотока - Нет
  • Стресс-эхокардиография - Нет
  • Wi-fi - Да
  • Улучшение визуализации иглы для линейных датчиков - Да
  • Наклон луча в допплеровских режимах на линейных датчиках В-steer - Да
  • Многолучевое сканирование/компаундинг - Да
  • Подавление зернистости - Да
  • Виртуальный источник освещения при 3D - Нет
  • Опция получения трехмерного изображения в режиме цветового допплеровского картирования (трехмерная реконструкция ЦДК) - Нет
  • Автоизмерения в 3D режиме - Нет
  • Разветвитель датчиков у портативных сканеров - Нет
  • Цветной допплер (CD) - Да
  • Подогреватель геля - Нет
  • Количество активных разъемов для датчиков - 1
  • Виды поддерживаемых датчиков - Конвексный, Линейный (до 15 МГц), Секторный фазированный взрослый, Полостной конвексный
  • Класс аппарата - Начальный
  • Тип устройства - Планшетный
  • Специализация (УЗИ) - Общие исследования, Гинекология и акушерство
  • DICOM - Да
  • Пакет опций 5D - Нет
  • Поддержка исследований с контрастными веществами - Нет
  • Поддержка постоянно-волнового доплера (CW) - Да
  • Поддержка анатомического М-режима - Да
  • Поддержка технологии Fusion (совмещение изображений на КТ/МРТ с УЗИ) - Нет
  • Поддержка объемной визуализации сердца плода (STIC) - Нет
  • Поддержка блока ЭКГ - Нет
  • Трапециевидный режим (виртуальный конвекс) - Да
  • Командный сенсорный дисплей - Да
  • Наличие блока объемного сканирования (4D) - Нет
  • Трехмерная реконструкция методом "свободной руки" - Нет
  • Автоматический расчет толщины комплекса интима-медиа (IMT) - Да
  • Размер экрана, ″ - 11
  • Панорамное сканирование - Да
  • Программа автоматического измерения основных параметров биометрии плода в акушерстве - Нет
  • Наличие автоматического расчета воротникового пространства - Нет

  • Конвексный УЗИ датчик Philips C9-4v
  • Секторный УЗИ датчик Philips S4-1
  • Конвексный УЗИ датчик Philips С6-2
  • Конвексный УЗИ датчик Philips C5-2
  • Секторный УЗИ датчик Philips S4-2
  • Линейный УЗИ датчик Philips L12-4
Давайте обсудим
Покупку или лизинг
медицинского оборудования