Астрахань ваш город?
Да
Выбрать другой город

УЗИ-аппарат
Samsung Medison V8

В наличии
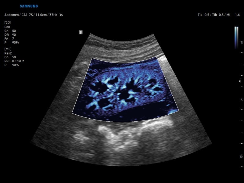
Ультразвуковой сканер V8-RUS является экспертным классом (премиальный уровень) и производится компанией Samsung Medison. Сканер V8 обеспечивает превосходное качество изображения благодаря использованию технологии Crystal Architecture™, которая включает в себя передовое аппаратное обеспечение, монокристальную технологию изготовления датчиков и сложную программную обработку ультразвуковых лучей.
В корзине
Лизинг
Доставка и лизинг по всей России
Включая Дагестан, Чечню и Крым
Гарантия
Гарантия на медицинское оборудование от производителя!
Послепродажный сервис
Инженерная поддержка
Инструктаж по монтажу и обучение персонала включены в стоимость
Гибкие условия
Оперативная доставка
Лизинг и доставка оборудования в наличии от 1 рабоего дня

Samsung Medison V8 представляет собой современную ультразвуковую систему, в которой воплощен многолетний опыт компании Samsung в создании эргономичного и интеллектуального диагностического оборудования. Система оснащена передовыми инструментами автоматизации, которые значительно упрощают рабочий процесс и повышают эффективность исследований.

Стандартная комплектация:

Базовая конфигурация системы включает:

  • 23,8-дюймовый монитор высокого разрешения
  • 14-дюймовая сенсорная панель управления с автоматической регулировкой высоты
  • Встроенная клавиатура с трекболом
  • Расширенный набор режимов визуализации:
    • Цветной, энергетический и направленный энергетический допплер
    • Импульсно-волновой допплер
    • Тканевая и S-гармоника
    • Технологии улучшения изображения: ClearVision, MultiVision, Shadow HDR, HQ Vision
  • Автоматизированные функции:
    • EzExam+ для оптимизации рабочего процесса
    • NeedleMate+ для улучшенной визуализации иглы
    • BiometryAssist для автоматизированных измерений

Расширенные возможности:

Система предлагает широкий спектр опциональных функций:

  • Специализированные пакеты исследований:
    • Smart 4D с технологиями Realistic VUE и Crystal VUE
    • Кардиологический пакет с функцией StressEcho
    • Автоматизированные инструменты: 5D NT, 5D LB, 5D CNS+, 5D Heart Color
  • Диагностические технологии:
    • S-Detect для исследования молочной железы и щитовидной железы
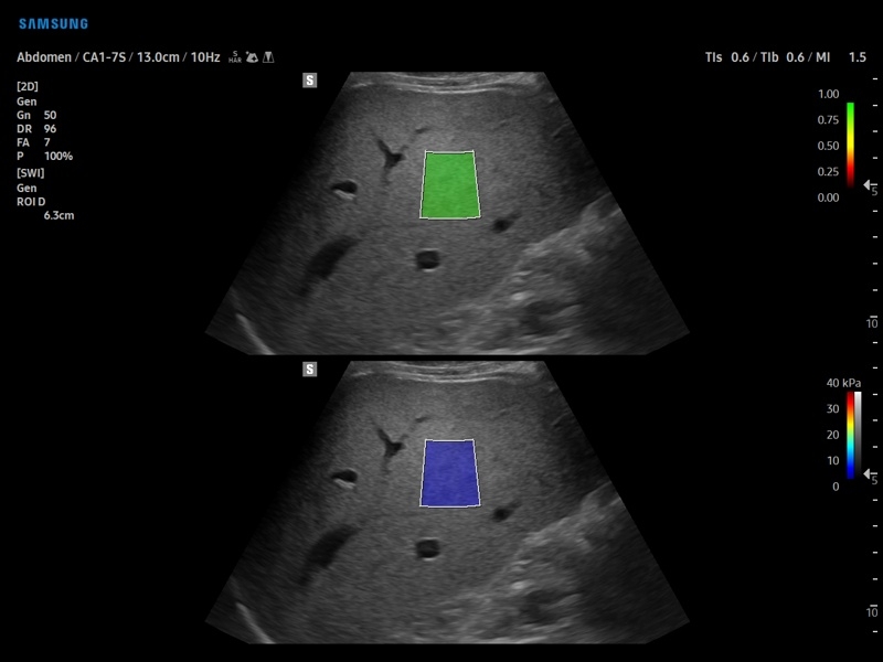
    • S-Shearwave Imaging для эластографии сдвиговой волной
    • Контрастное усиление CEUS+
    • Расширенная сосудистая визуализация: Auto IMT+, 2D Arterial Analysis

Области применения:

Система Samsung Medison V8 обеспечивает высококачественную диагностику в различных областях медицины:

  • Абдоминальные исследования
  • Акушерство и гинекология
  • Кардиология
  • Ангиология
  • Урология и нефрология
  • Онкология
  • Педиатрия и неонатология
  • Исследования поверхностных органов
  • Диагностика костно-мышечной системы
  • Транскраниальные исследования
  • Эзофагокардиография

Дополнительные возможности:

Для повышения эффективности работы доступны:

  • Сетевые функции: DICOM, Mobile Export, SonoSync
  • Технологии визуализации: MV Flow, LumiFlow, SEE Stream, Panoramic
  • Специализированные инструменты: Nerve Track, S-Fusion
  • Периферийное оборудование: педаль управления, подогреваемый держатель для геля, фотопринтер, ИБП

Приобретение ультразвуковой системы Samsung Medison V8

Мы предлагаем комплексное решение для оснащения вашей клиники:

  • Профессиональный подбор конфигурации системы под ваши задачи
  • Помощь в выборе дополнительных опций и периферийного оборудования
  • Оперативная поставка и установка
  • Обучение персонала
  • Гарантийное и постгарантийное обслуживание

Чтобы получить подробную информацию о возможностях и стоимости ультразвуковой системы Samsung Medison V8, свяжитесь с нашими специалистами по телефону 8 800 700 21 33. Мы поможем подобрать оптимальную комплектацию и предложим выгодные условия приобретения.

Технические характеристики
Диагональ монитора:
23.8 дюйм
Диагональ командной сенсорной панели:
14 дюйм
Вес аппарата:
110 кг
Жесткий диск:
1000 ГБ
Тип аппарата:
Стационарный
Эластография:
Компрессионная, Сдвиговая
Класс аппарата:
Высокий
Поддерживаемые датчики:
Матричные
Количество портов:
4
Страна производитель:
Южная Корея
Бренд:
Samsung Medison
Категория:
Общая визуализация, Гинекология и акушерство, УЗИ для кардиологии
Доступные опции
Режимы акустической прозрачности 3D:
Да
Трехмерная реконструкция ЦДК:
Да
Объемное сканирование:
Да
Трехмерная реконструкция методом свободной руки:
Да
Эластография сдвиговой волной/Эластометрия:
Да
Компрессионная эластография:
Да
Автоматическая подстройка рамки допплера:
Да
Режим полной автоматизации:
Да
Недопплеровская визуализация кровотока:
Да
Тканевой допплер:
Да
Направленный энергетический допплер:
Да
Энергетический допплер:
Да
Высокочастотный импульсный допплер:
Да
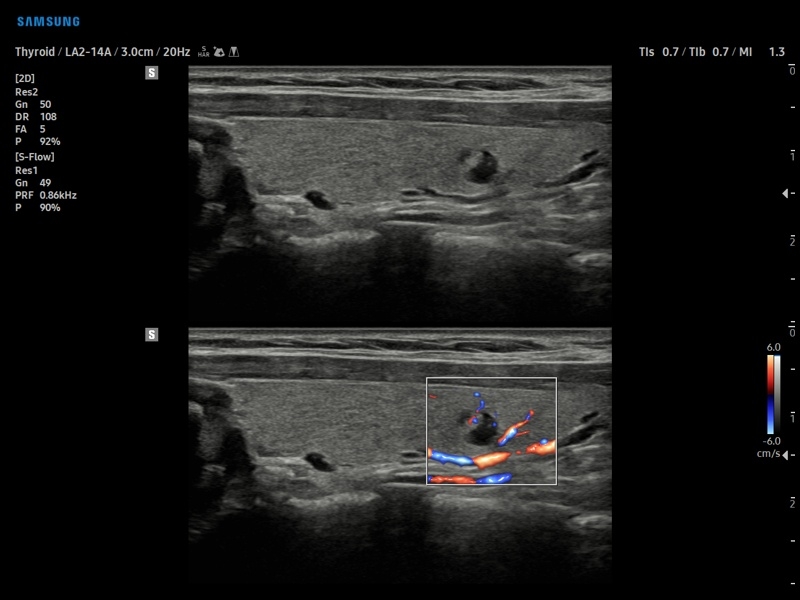
Цветовой допплер:
Да
Постоянно-волновой допплер:
Да
Импульсно-волновой допплер:
Да
Анатомический М-режим:
Да
Панорамное сканирование:
Да
Режим B-сканирования с отклонением угла:
Да
Трапециевидное сканирование/Виртуальный конвекс:
Да
Триплексное сканирование:
Да
Дуплексное сканирование:
Да
Цветной M-режим:
Да
M-режим:
Да
B-режим, Двухмерное сканирование:
Да
Область применения
Общая визуализация:
Да
Кардиология:
Да
Гинекология:
Да
Компоненты дополнительной поставки
DICOM:
Да
STIC:
Да
S-Fusion:
Да
ClearVision:
Да
SonoView:
Да
Shadow HDR:
Да
NerveTrack:
Да
S-Shearwave imaging:
Да
MPI+:
Да
MV-Flow:
Да
E-Cervix:
Да
S-Detect for Breast:
Да
S-Detect for Thyroid:
Да
IOTA-ADNEX:
Да
ADVR:
Да
CW Module:
Да
Multivision:
Да
LaborAssist:
Да
HQ Vision:
Да
Strain+:
Да
E-Strain:
Да
5D Follicle:
Да
5D Heart Color:
Да
5D NT:
Да
Crystal Vue:
Да
Realistic Vue:
Да
AutoIMT:
Да
CEUS+:
Да
ElastoScan:
Да
HDVI:
Да
Онлайн калькулятор
Цена
Ориентировочная цена модели
Аванс
10% 100%
 
Срок лизинга
12 месяцев 36 месяцев
 
Ежемесячный платёж
Первоначальный взнос
* Рассчет платежа носит информационный характер и не является публичной офертой.
Условия лизинга индивидуальны для каждого договора.
Условия лизинга
  • По всей России (Включая Крым, Дагестан и Чечню)
  • Авансовый платеж от 10% (для УЗИ брендов GE, Mindray и Samsung)
  • Оформление лизинга от 48 часов
  • Возможность досрочного погашения
  • Лизинг оборудования от 1 года

Режимы визуализации

  • B (2D) - двухмерное сканирование в оттенках серой шкалы,тканевая гармоника(в том числе пульс-инверсная).
  • M - одномерный режим для исследования сердца, анатомический М-режим (необходим кардиопакет), CM - цветной М-режим (необходим кардиопакет).
  • CD - цветное допплеровское картирование с возможностью изменения допплеровского угла.
  • PD - энергетический допплер с возможностью изменения допплеровского угла.
  • DPDI - двунаправленный энергетический допплер.
  • TDI- тканевый допплер (необходим кардиопакет).
  • PW - импульсно-волновой допплер, steering - изменение допплеровского угла в режимах CD и PD, автоматический анализ допплеровских кривых.
  • HPRF- высокочастотный импульсно-волновой допплер.
  • CW - постоянно-волновой допплер (опция).
  • 3D - трехмерное сканирование объемными датчиками в статическом режиме в серой шкале и восстановление объемной структуры сосудов в режиме цветного / энергетического допплера (необходим Static 3D).
  • 4D - трехмерное сканирование объемными датчиками в реальном масштабе времени (необходима опция Smart 4D).
  • Режимы одновременного отображения на экране 2-х, 4-х и более изображений, в т.ч. изображений в режимах B/C, B/PD в реальном масштабе времени.
  • Смешанные режимы (B/M, B/PWD, B/C, B/PD, B/PD/PWD, B/C/PWD).
  • Трапециевидный режим (для линейных датчиков).
  • Масштабирование.

Опции

  • Кардиопакет: тканевый допплер (TDI) + анатомический М-режим + цветной М-режим (CM) + программное обеспечение.
  • Модуль ЭКГ.
  • Модуль панорамного сканирования.
  • Модуль CW - постоянно-волновой допплер.
  • Модуль NerveTrack – автоматическое определение срединного нерва в поперечном сечении с использованием искуственного интеллекта.
  • Модуль Mobile Export – экспорт изображений и кинопетелей пациенту на мобильный телефон по протоколу Wi-Fi.
  • Модуль ADVR – модуль потокой записи исследований на носители непосредственно во время исследования.
  • Модуль SonoSync – возможность удаленного управления сканером и просмотр исследований в режиме реального времени.
  • Модуль 5D NT – программа автоматического измерение воротникового пространства плода по срединно-сагиттальной линии из объемного изображения (по рекоммендациям FMF).
  • Модуль 5D LB – программа автоматического определения и измерения длинных костей плода в режиме объемного сканирования.
  • Модуль 5D LimbVol – программа автоматического определения и измерения конечностей плода для анализа мягких тканей в режиме объемного сканирования.
  • Модуль5D CNS– программа автоматического построения основных срезов головного мозга плода в режиме объемного сканирования.
  • Модуль5D HeartColor – программа автоматического построения основных срезов средца плода в режиме объемного сканирования с анализом кровотока.
  • 2D Follicle – программа автоматического определения и измерения объемов фолликулов в режиме двумерного сканирования.
  • 5D Follicle - программа автоматического определения и измерения объемов фолликулов в режиме объемного сканирования.
  • Программа LaborAssist – определение угла раскрытия тазового дна (АоР) во втором периоде родов с целью оценки физиологичности родов
  • Программа MPI+ – автоматическая оценка индекса производительности миокарда плода (индекс Tei).
  • Программа Uterine Assist – автоматическое определение и измерение основных показателей матки во время гинекологических исследований.
  • Система DICOM - возможность сетевой интеграции с PACS-системами (например, для архивации или печати ультразвуковых эхограмм на оборудовании других производителей медтехники).
  • Модуль HDVI (High Definition Volume Imaging) - повышение четкости изображения границ тканей с разной эхо-плотностью в объемном изображении (диагностика тонких повреждений тканей, дефектов мозга плода, стенок и клапанов сердца плода).
  • Модуль Realistic Vue - программа реконструкции реалистичного 3D УЗИ, при котором на объемное изображение накладывается виртуальный источник освещения. Специальный процессинговый алгоритм воспроизводит трехмерную анатомию плода с исключительной детализацией.
  • МодульCrystal Vue- программа реконструкции прозрачного 3D УЗИ, которое получается при одновременном усилении внутренних и наружных структур. Применяется для визуальной оценки состояния плода и матки, помогает лучше идентифицировать мягкие ткани и кости.
  • Модуль Crystal Vue Flow- программа реконструкции прозрачного 3D УЗИ, которое получается при одновременном усилении внутренних и наружных структур. Применяется для визуальной оценки состояния плода и матки, помогает лучше идентифицировать мягкие ткани и кости. Так же визуализирует объемный кровоток.
  • МодульSTIC- объемная динамическая визуализация сердца плода.
  • Модуль IOTA-ADNEX - программа оценки индивидуального риска рака яичников.
  • Модуль AutoIMT - автоматическое вычисление комплекса интима-медиа общей сонной артерии (Intima Media Thickness). Данная оценка имеет большое значение для ранней диагностики атеросклероза и оценки риска развития инсульта и инфаркта миокарда.
  • Модуль Elastoscan - программы эластографии для исследований щитовидной железы, молочной железы у женщин и предстательной железы у мужчин.
  • Модуль E-Strain – полуколичественный анализ индекса Strain Ratio в режиме компресионной эластографии.
  • МодульE-Cervix– количественный анализ жесткости шейки матки для оценки риска преждевременных родов.
  • Модуль S-Shearwave imaging – программа цветовой сдвиговой эластографии позволяющая автоматически определять индекс жесткости различных участков исследуемого объекта в кПа или м/с, получая при это еще и индекс достоверности данных RMI.
  • МодульS-Detect Breast- программа автоматического обнаружения и анализа образований молочной железы у женщин, измерение и классификация по системе BI-RADS.
  • МодульS-Detect Thyroid- программа автоматического обнаружения образований и анализа щитовидной железы, измерение и классификация по системе системе TI-RADS.
  • МодульS-Fusion- программа, позволяющая одновременную визуализацию участков печени, молочной или предстательной железы, полученную при помощи ультразвукового исследования и данных КТ или МРТ автоматически на одном экране и в разных режимах (в том числе в режиме реального времени) с помощью специальных магнитных сенсоров на датчике.
  • Модуль CEUS+ (Contrast Enchansment UltraSound) - программа, позволяющая проводить обследование с применением контрастных агентов.
  • Модуль MV-Flow – программа (режим), позволяющая визуализировать кровоток в микроциркуляторном русле с высоким разрешением без использования контраста.
  • Модуль LumiFlow – программа отображения кровотока с объемной графикой для лучшего понимания архитектоники сосудистого русла.
  • Модуль 2D Arterial Analysis программа, позволяющая автоматически провести анализ толщины и эластичности стенок разных участков сонной артерии, с выведением результатов в графической форме в движении (кинопетле) аналогично программе Strain для эхокардиографии.
  • МодульStrain+- программа не векторной оценки степени сократимости миокарда с выведением автоматически расчетов и графиков на экране отдельно по каждому сегменту.
  • Модуль Stress Echo – программа для исследования сердца под нагрузкой.
  • Программа SEE Stream – режим недопплеровской визуализации кровотока в реальном масштабе времени.
  • Педаль дистанционного управления.

Пакет Smart 4D

  • Система Static 3D - трехмерное сканирование объемными датчиками в статическом режиме в серой шкале и восстановление объемной структуры сосудов в режиме цветного / энергетического допплера).
  • СистемаLive 3D- трехмерное сканирование объемными датчиками в реальном масштабе времени (4D).
  • Модуль SFVI.
  • Модуль VSI.
  • Модуль Smooth Cut.
  • Пакет 3DXI.
  • Пакет 3DMXI.

Пакет опций 3D XI (объемная ультразвуковая томография)

  • MSV(Multi-Slice View илимультислайсинг) - возможность одновременного просмотра на экране множественных срезов, полученных при трехмерном сканировании.
  • VolumeCT - трехмерная реконструкция изображений в виде куба (Cube Sectional View) или трех пересекающихся плоскостей (Cross View).
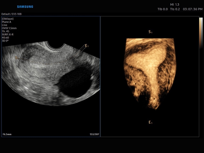
  • OVIX(Oblique View eXtended) - получение фрагмента трехмерного изображения (в виде нескольких полупрозрачных сканов, последовательно наложенных один на другой) в направлении произвольного косого среза трехмерного объекта исследования.

Пакет опций 3D MXI (мульти-объемная ультразвуковая томография)

  • Multi Volume Slice- одновременный просмотр на экране нескольких объемных срезов трехмерного объекта исследования.
  • Mirror View(зеркальный режим) - режим отображения трехмерного объекта исследования, при котором одновременно представлены трехмерные изображения спереди, слева, справа и сверху.
  • Multi OVIX - одновременный просмотр на экране нескольких изображений OVIX, полученных из трехмерного объекта исследования.

Инновационные технологии

  • S-Vue датчики - некоторые датчики имеют улучшенный монокристаллический тип пьезоэлементов (технология изготовления пьезоэлементов из выращенных монокристаллов).
  • Модуль NerveTrack – автоматическое определение срединного нерва в поперечном сечении с использованием искуственного интеллекта.
  • Модуль S-Shearwave imaging – программа цветовой сдвиговой эластографии позволяющая автоматически определять индекс жесткости различных участков исследуемого объекта в кПа или м/с, получая при это еще и индекс достоверности данных RMI.
  • Модуль MV-Flow - программа (режим), позволяющая визуализировать кровоток в микроциркуляторном русле с высоким разрешением без использования контраста.
  • Модуль S-Detect Breast - программа автоматического обнаружения и анализа образований молочной железы у женщин, измерение и классификация по системе BI-RADS.
  • Модуль S-Detect Thyroid - программа автоматического обнаружения образований и анализа щитовидной железы, измерение и классификация по системе системе TI-RADS.
  • Модуль S-Fusion - программа, позволяющая одновременную визуализацию участков печени, молочной или предстательной железы, полученную при помощи ультразвукового исследования и данных КТ или МРТ автоматически на одном экране и в разных режимах (в том числе в режиме реального времени) с помощью специальных магнитных сенсоров на датчике.

Основные измерения

  • B-режим: расстояние, периметр, угол, площадь, эллипс, окружность, объем.
  • D-режим: скорость, давление, ускорение, замедление.
  • M-режим: время, расстояние, уклон.

Пакеты расчетов (измерения и отчеты)

  • Гинекология:матка, левый и правый яичники, левый и правый фолликулы, левая и правая яичниковые артерии, левая и правая маточные артерии, эндометрий, киста, опухоль, объемное образование и др.
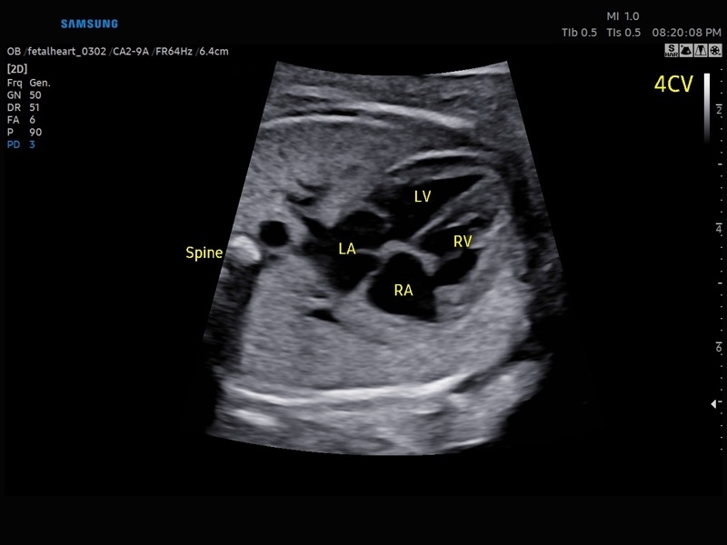
  • Акушерство:биометрия плода (плодное яйцо (GS), теменно-копчиковая длина (CRL), бипариетальный размер головки (BPD), лобно-затылочное расстояние (OFD), окружности головы (НC), передне-задний размер живота (APD), поперечный размер живота (TAD), окружность живота (AC), длина бедра (FL) и др.), длинные кости плода (плечевая (Humerus), локтевая (Ulna), лучевая (Rad), большеберцовая (Tibia), малая берцовая, ключица (Clav) и позвоночник (LV), краниологическое исследование плода (мозжечок (CEREB), внешнее (OOD) и внутреннее (IOD) межглазничные расстояния, большая цистерна, шейная складка, боковые желудочки, носовая кость), другие показатели плода (ступня, ухо, средняя фаланга, почки, таз), индекс околоплодных вод (AFI), допплерометрия (пупочная артерия, средняя мозговая артерия, маточные артерии, плацентарная артерия, сонные артерии, аорта плода, венозный проток, ЧСС плода); уравнения для оценки веса плода (Хедлок (Hadlock) 1-4, Хансман (Hansmann) и Мерц (Merz)); таблицы, определяемые пользователем.
  • Сердце плода:измерения в В-режиме (отношение площади сердца и грудной клетки), измерения в М-режиме (толщина межжелудочковой перегородки в диастолу, конечнодиастолический размер левого желудочка, толщина задней стенки левого желудочка в диастолу, толщина межжелудочковой перегородки в систолу, размер левого желудочка в систолу, толщина задней стенки левого желудочка в систолу, внутренний размер правого желудочка в диастолу), измерения в режиме спектрального допплера (легочный ствол, артериальный проток, нижняя полая вена, венозный проток, восходящая аорта, нисходящая аорта, трансмитральный кровоток, митральная регургитация, трикуспидальный кровоток, трикуспидальная регургитация, индекс преднагрузки, ЧСС).
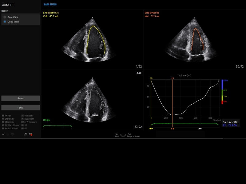
  • Пакет кардиологических исследований.
    М-режим:измерение диаметра аорты, передне-заднего размера ЛП, толщины МЖП (систолическая и диастолическая), толщины ЗСЛЖ (систолическая и диастолическая), размеров ЛЖ и ПЖ (систолический и диастолический), ФВ (Teichholz).
    B-режим:измерение диаметра аорты (восходящей, дуги, нисходящей, на уровне синусов Вальсальвы, на уровне створок аортального клапана), определение размеров ЛП и ПП (максимальный, минимальный, систолический, диастолический, переднее-задний, верхнее-нижний, медиально-латеральный), расчет объемов ЛП и ПП, объемов ЛЖ (метод "Площадь-Длина", метод дисков (Simpson)), массы миокарда ЛЖ, индекса массы миокарда ЛЖ.
    CD-режим (ЦДК):измерение радиуса ПФСМР (PISA), полуколичественная оценка трансмитрального, транстрикуспидального, трансаортального и транспульмонального кровотока (оценка регургитации), оценка аномальных сбросов крови через МПП И МЖП.
    PW-режим (импульсно-волновой допплер):автоматическая, полуавтоматическая и ручная трассировка допплеровского спектра митрального, аортального и трикуспидального клапанов, клапана легочной артерии, кровотока в выходном тракте ЛЖ и ПЖ (пиковая/средняя скорость, пиковый/средний градиент давления, время изоволюметрического расслабления ЛЖ, время ускорения, замедления, выброса), оценка кровотока легочных и печеночных вен.
    CW-режим (постоянно-волновой допплер):программы расчета работы митрального, аортального и трикуспидального клапанов, клапана легочной артерии.
    TD-режим (тканевой допплер):количественная оценка локальной сократительной функции стенок ЛЖ и ПЖ.
  • Сонные артерии:автоматическая, полуавтоматическая, ручная трассировка доплеровского спектра; ПСС, КДС, %СтПлощ, %Ст Диам, площадь сосуда, диаметр сосуда, средняя толщина интимы, объемный кровоток.
  • Артерии верхних конечностей:автоматическая, полуавтоматическая, ручная трассировка доплеровского спектра; ПСС, КДС, %СтПлощ, %Ст Диам, площадь сосуда, диаметр сосуда, объемный кровоток.
  • Артерии нижних конечностей:автоматическая, полуавтоматическая, ручная трассировка доплеровского спектра; ПСС, КДС, %СтПлощ, %Ст Диам, площадь сосуда, диаметр сосуда, объемный кровоток.
  • Вены нижних конечностей:автоматическая, полуавтоматическая, ручная трассировка доплеровского спектра; максимальная скорость, диаметр сосуда.
  • Сосуды брюшной полости:автоматическая, полуавтоматическая, ручная трассировка доплеровского спектра; ПСС, КДС, %СтПлощ, %Ст Диам, площадь сосуда, диаметр сосуда, объемный кровоток.
  • Урология:объем мочевого пузыря, остаточный объем, объем предстательной железы по WG, объем Т-зон, объем почки (методы измерения объема: три расстояния, три расстояния и коэффициент, эллипсоид).

Сокращения:ЛП/ПП - левое/правое предсердие, МЖП - межжелудочковая перегородка, МПП - межпредсердная перегородка, ЗСЛЖ - задняя стенка левого желудочка, ЛЖ/ПЖ - левый/правый желудочек, ФВ - фракция выброса, ПФСМР - площадь формирующейся струи митральной регуритации (PISA - proximal isovelocity surface area), ПСС/КДС - пиковая систолическая / конечная диастолическая скорость.

Давайте обсудим
Покупку или лизинг
медицинского оборудования